Come in for a free Smile Simulation with our iTero scanner :)
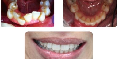
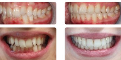
A small collection of before and afters completed by Dr Dhatt
We are very proud of our work and believe the results speak for themselves
Would you like to see your smile project on here?
Contact us asap for a free consultation for Orthodontics in Bournemouth
We provide Invisalign in Bournemouth, Incognito and Damon Braces in Bournemouth also
The 3 galleries will give you an idea of the variety of malocclusions that can exist, and the variety of approaches to treat them,
Nowadays the clinician finds that Invisalign as a system is far more capable than it has ever been. HD certified in the Invisalign system back in 2007 and has witnessed much development in both attachment shape and plastics flexibility over the years. You will find some complex cases in the Invisalign gallery, we hope you enjoy them :)
HD Ortho prefers Damon Braces for more complicated cases. There are some favourites in this collection, can you spot the mic drop?
A wonderful case. The patient was refused non extraction Orthodontics from the Nhs Orthodontist. The extraction treatment plan was scheduled for a 2 year treatment time. The mother found us and we treated the patient with Damon Q Braces in Ringwood. Total orthodontic treatment time 10 months!
![{"blocks":[{"key":"36h6n","text":"A wonderful case. The patient was refused non extraction Orthodontics from the Nhs Orthodontist. The extraction treatment plan was scheduled for a 2 year treatment time. The mother found us and we treated the patient with Damon Q Braces in Ringwood. Total orthodontic treatment time 10 months! ","type":"unstyled","depth":0,"inlineStyleRanges":[],"entityRanges":[],"data":{}}],"entityMap":{}}](http://img1.wsimg.com/isteam/ip/5646647d-f891-4fb3-9e35-8591b23fa85d/dris.jpg/:/rs=w:100,h:70,cg:true,m/cr=w:100,h:70,a:cc)
![{"blocks":[{"key":"dnht5","text":"Whole arch retraction using TADs (temporary anchorage devices) to correct a class 3 skeletal case. The patients main compliant was that she could simply not bite down (she had an anterior open bite). We closed this bite down in around 18months of orthodontics in bournemouth.","type":"unstyled","depth":0,"inlineStyleRanges":[],"entityRanges":[],"data":{}}],"entityMap":{}}](http://img1.wsimg.com/isteam/ip/5646647d-f891-4fb3-9e35-8591b23fa85d/Screen%20Shot%202019-06-22%20at%203.28.14%20PM.png/:/cr=t:0%25,l:0%25,w:100%25,h:100%25/rs=w:100,h:70,cg:true,m/cr=w:100,h:70,a:cc)
![{"blocks":[{"key":"7p09q","text":"Orthodontic Severe crowding resolved with Damon Clear braces in ringwood. total orthodontics treatment time around 12 months","type":"unstyled","depth":0,"inlineStyleRanges":[],"entityRanges":[],"data":{}}],"entityMap":{}}](http://img1.wsimg.com/isteam/ip/5646647d-f891-4fb3-9e35-8591b23fa85d/Screen%20Shot%202019-06-22%20at%203.30.08%20PM.png/:/rs=w:100,h:70,cg:true,m/cr=w:100,h:70,a:cc)
![{"blocks":[{"key":"bke5l","text":"Severe orthodontic crowding with blocked out teeth and cross bites. the patients main concern was the canines that were 'stuck' in his skull. Treated with Damon Braces in Bournemouth (and Ringwood). Our patients have the flexibility of attending any of the 2 practices within the Dental Group Ltd. This case was completed in only 12 months!","type":"unstyled","depth":0,"inlineStyleRanges":[],"entityRanges":[],"data":{}}],"entityMap":{}}](http://img1.wsimg.com/isteam/ip/5646647d-f891-4fb3-9e35-8591b23fa85d/Screen%20Shot%202019-06-22%20at%207.48.06%20PM.png/:/rs=w:100,h:70,cg:true,m/cr=w:100,h:70,a:cc)
![{"blocks":[{"key":"e8db3","text":"Severe crowding treated with Damon Q braces. This Journey of Orthodontics in Bournemouth took approx. 18 months","type":"unstyled","depth":0,"inlineStyleRanges":[],"entityRanges":[],"data":{}}],"entityMap":{}}](http://img1.wsimg.com/isteam/ip/5646647d-f891-4fb3-9e35-8591b23fa85d/Screen%20Shot%202019-06-22%20at%203.35.52%20PM.png/:/rs=w:100,h:70,cg:true,m/cr=w:100,h:70,a:cc)
![{"blocks":[{"key":"9po4h","text":"Wow, what a difference 4 months makes! This smile took only 4 months to develop. The patient was over the moon by then and wanted the braces off. Subsequent visits the patient has said that her new smile gave her so much confidence that she could take on a training teaching role and is now a full time teacher - amazing what a smile can do!","type":"unstyled","depth":0,"inlineStyleRanges":[],"entityRanges":[],"data":{}}],"entityMap":{}}](http://img1.wsimg.com/isteam/ip/5646647d-f891-4fb3-9e35-8591b23fa85d/Screen%20Shot%202019-06-22%20at%203.35.15%20PM.png/:/rs=w:100,h:70,cg:true,m/cr=w:100,h:70,a:cc)
![{"blocks":[{"key":"a2cms","text":"This patient was placed on an NHS waiting list for 3 years with option of going privately with the NHS Orthodontist. Mum did not want any teeth removed. HDORTHO treated this complex case non extraction with Damon Braces in Bournemouth. Total Orthodontic treatment time 15months.","type":"unstyled","depth":0,"inlineStyleRanges":[],"entityRanges":[],"data":{}}],"entityMap":{}}](http://img1.wsimg.com/isteam/ip/5646647d-f891-4fb3-9e35-8591b23fa85d/massimo.jpg/:/rs=w:100,h:70,cg:true,m/cr=w:100,h:70,a:cc)
![{"blocks":[{"key":"bpk85","text":"Damon Q braces to bring out an incisor that was hiding behind the other teeth! This journey took under a year with Orthodontics in Ringwood","type":"unstyled","depth":0,"inlineStyleRanges":[],"entityRanges":[],"data":{}}],"entityMap":{}}](http://img1.wsimg.com/isteam/ip/5646647d-f891-4fb3-9e35-8591b23fa85d/Screen%20Shot%202019-06-22%20at%203.35.40%20PM.png/:/rs=w:100,h:70,cg:true,m/cr=w:100,h:70,a:cc)
![{"blocks":[{"key":"2r0r2","text":"A raging deep bite, corrected with Damon braces in Ringwood","type":"unstyled","depth":0,"inlineStyleRanges":[],"entityRanges":[],"data":{}}],"entityMap":{}}](http://img1.wsimg.com/isteam/ip/5646647d-f891-4fb3-9e35-8591b23fa85d/Screen%20Shot%202019-06-22%20at%203.35.27%20PM.png/:/rs=w:100,h:70,cg:true,m/cr=w:100,h:70,a:cc)
![{"blocks":[{"key":"6u5dc","text":"What a difference a smile can make! This patient (ex special forces) had clear braces in bournemouth to move the teeth into new positions ready for an implant to replace a missing lateral incisor and bonding to improve overall tooth shape (and of course teeth whitening). total treatment time 12 months.","type":"unstyled","depth":0,"inlineStyleRanges":[],"entityRanges":[],"data":{}}],"entityMap":{}}](http://img1.wsimg.com/isteam/ip/5646647d-f891-4fb3-9e35-8591b23fa85d/Lee.jpg/:/rs=w:100,h:70,cg:true,m/cr=w:100,h:70,a:cc)

![{"blocks":[{"key":"28vr3","text":"simple alignment using Damon Q Orthodontics in Bournemouth","type":"unstyled","depth":0,"inlineStyleRanges":[],"entityRanges":[],"data":{}}],"entityMap":{}}](http://img1.wsimg.com/isteam/ip/5646647d-f891-4fb3-9e35-8591b23fa85d/Screen%20Shot%202019-06-22%20at%203.35.00%20PM.png/:/rs=w:100,h:70,cg:true,m/cr=w:100,h:70,a:cc)
![{"blocks":[{"key":"4mel8","text":"Damon Q braces to resolve Boltons discrepancy crowding with Macrodontia within 10 months","type":"unstyled","depth":0,"inlineStyleRanges":[],"entityRanges":[],"data":{}}],"entityMap":{}}](http://img1.wsimg.com/isteam/ip/5646647d-f891-4fb3-9e35-8591b23fa85d/judge.jpg/:/rs=w:100,h:70,cg:true,m/cr=w:100,h:70,a:cc)
![{"blocks":[{"key":"ce7e4","text":"Damon Braces in Bournemouth. Treated without extractions, this severe crowding case took only 13 months","type":"unstyled","depth":0,"inlineStyleRanges":[],"entityRanges":[],"data":{}}],"entityMap":{}}](http://img1.wsimg.com/isteam/ip/5646647d-f891-4fb3-9e35-8591b23fa85d/amy.jpg/:/rs=w:100,h:70,cg:true,m/cr=w:100,h:70,a:cc)
![{"blocks":[{"key":"adtfn","text":"Mic drop! Severe crowding, this patient looked for orthodontics in bournemouth and chose to have Damon Q braces. With very little if any discomfort this alignment was achieved within 18 months.","type":"unstyled","depth":0,"inlineStyleRanges":[],"entityRanges":[],"data":{}}],"entityMap":{}}](http://img1.wsimg.com/isteam/ip/5646647d-f891-4fb3-9e35-8591b23fa85d/tam2.jpg/:/rs=w:100,h:70,cg:true,m/cr=w:100,h:70,a:cc)
![{"blocks":[{"key":"al0q2","text":"What a life changer this case was! Severe crowding treated with Damon Q braces in Bournemouth","type":"unstyled","depth":0,"inlineStyleRanges":[],"entityRanges":[],"data":{}}],"entityMap":{}}](http://img1.wsimg.com/isteam/ip/5646647d-f891-4fb3-9e35-8591b23fa85d/tam3.jpg/:/rs=w:100,h:70,cg:true,m/cr=w:100,h:70,a:cc)
![{"blocks":[{"key":"3jub5","text":"Severe crowding and deep bite (traumatic) - treated with Damon Q Orthodontics in Bournemouth","type":"unstyled","depth":0,"inlineStyleRanges":[],"entityRanges":[],"data":{}}],"entityMap":{}}](http://img1.wsimg.com/isteam/ip/5646647d-f891-4fb3-9e35-8591b23fa85d/tam1.jpg/:/rs=w:100,h:70,cg:true,m/cr=w:100,h:70,a:cc)
![{"blocks":[{"key":"cl31o","text":"Retained baby tooth removed and teeth aligned using Damon Orthodontics in Bournemouth. Canine moved from palate into the arch.","type":"unstyled","depth":0,"inlineStyleRanges":[],"entityRanges":[],"data":{}}],"entityMap":{}}](http://img1.wsimg.com/isteam/ip/5646647d-f891-4fb3-9e35-8591b23fa85d/fiveash.jpg/:/rs=w:100,h:70,cg:true,m/cr=w:100,h:70,a:cc)
What a difference a wider smile makes! This patient had loads of bone to move the teeth out sideways, so thats what we did! An Invisalign journey in Ringwood. Total orthodontics treatment time of 10 months.
![{"blocks":[{"key":"dgm","text":"What a difference a wider smile makes! This patient had loads of bone to move the teeth out sideways, so thats what we did! An Invisalign journey in Ringwood. Total orthodontics treatment time of 10 months.","type":"unstyled","depth":0,"inlineStyleRanges":[],"entityRanges":[],"data":{}}],"entityMap":{}}](http://img1.wsimg.com/isteam/ip/5646647d-f891-4fb3-9e35-8591b23fa85d/Screen%20Shot%202019-06-22%20at%204.58.08%20PM.png/:/cr=t:0%25,l:0%25,w:100%25,h:100%25/rs=w:100,h:70,cg:true,m/cr=w:100,h:70,a:cc)
![{"blocks":[{"key":"61rn9","text":"Treating crossed over teeth with Invisalign in Ringwood. ","type":"unstyled","depth":0,"inlineStyleRanges":[],"entityRanges":[],"data":{}}],"entityMap":{}}](http://img1.wsimg.com/isteam/ip/5646647d-f891-4fb3-9e35-8591b23fa85d/kenell.jpg/:/rs=w:100,h:70,cg:true,m/cr=w:100,h:70,a:cc)
![{"blocks":[{"key":"20jhu","text":"Crowding and deep bite treated using Invisalign in Ringwood. Orthodontic treatment time only 7 months.","type":"unstyled","depth":0,"inlineStyleRanges":[],"entityRanges":[],"data":{}}],"entityMap":{}}](http://img1.wsimg.com/isteam/ip/5646647d-f891-4fb3-9e35-8591b23fa85d/Screen%20Shot%202019-06-22%20at%204.57.54%20PM.png/:/rs=w:100,h:70,cg:true,m/cr=w:100,h:70,a:cc)
![{"blocks":[{"key":"8gfrc","text":"Ever thought of just treating the upper or lower teeth? This patient wanted to treat just her upper teeth (we left the deep bite as it was and didn't treat the lower teeth at all). Total Orthodontics treatment time of just 7 months!","type":"unstyled","depth":0,"inlineStyleRanges":[],"entityRanges":[],"data":{}}],"entityMap":{}}](http://img1.wsimg.com/isteam/ip/5646647d-f891-4fb3-9e35-8591b23fa85d/Screen%20Shot%202019-06-22%20at%204.57.35%20PM.png/:/rs=w:100,h:70,cg:true,m/cr=w:100,h:70,a:cc)
![{"blocks":[{"key":"cjbqm","text":"Teeth that stick out. Treatment time 10 months - Invisalign was used to tuck the teeth in and close the gaps - what a difference it made to this patients profile.","type":"unstyled","depth":0,"inlineStyleRanges":[],"entityRanges":[],"data":{}}],"entityMap":{}}](http://img1.wsimg.com/isteam/ip/5646647d-f891-4fb3-9e35-8591b23fa85d/Screen%20Shot%202019-06-22%20at%204.59.46%20PM.png/:/rs=w:100,h:70,cg:true,m/cr=w:100,h:70,a:cc)
![{"blocks":[{"key":"4ea4s","text":"Closing gaps and cosmetic bonding for peg shaped lateral incisors (and Zoom teeth whitening). Treatment time using invisalign only 7 months!","type":"unstyled","depth":0,"inlineStyleRanges":[],"entityRanges":[],"data":{}}],"entityMap":{}}](http://img1.wsimg.com/isteam/ip/5646647d-f891-4fb3-9e35-8591b23fa85d/Screen%20Shot%202019-06-22%20at%205.00.00%20PM.png/:/rs=w:100,h:70,cg:true,m/cr=w:100,h:70,a:cc)
![{"blocks":[{"key":"2dc3c","text":"A child refused NHS orthodontics - opted for Invisalign and treated with this form of orthodontics in just 7 months!","type":"unstyled","depth":0,"inlineStyleRanges":[],"entityRanges":[],"data":{}}],"entityMap":{}}](http://img1.wsimg.com/isteam/ip/5646647d-f891-4fb3-9e35-8591b23fa85d/Screen%20Shot%202019-06-22%20at%204.58.21%20PM.png/:/rs=w:100,h:70,cg:true,m/cr=w:100,h:70,a:cc)
![{"blocks":[{"key":"691mn","text":"Elegant Orthodontic alignment using Invisalign in Bournemouth.","type":"unstyled","depth":0,"inlineStyleRanges":[],"entityRanges":[],"data":{}}],"entityMap":{}}](http://img1.wsimg.com/isteam/ip/5646647d-f891-4fb3-9e35-8591b23fa85d/janebowen.jpg/:/rs=w:100,h:70,cg:true,m/cr=w:100,h:70,a:cc)
![{"blocks":[{"key":"6lp8k","text":"Severe crowding treated using Invisalign in ringwood - just 11 months","type":"unstyled","depth":0,"inlineStyleRanges":[],"entityRanges":[],"data":{}}],"entityMap":{}}](http://img1.wsimg.com/isteam/ip/5646647d-f891-4fb3-9e35-8591b23fa85d/Screen%20Shot%202019-06-22%20at%204.58.28%20PM.png/:/rs=w:100,h:70,cg:true,m/cr=w:100,h:70,a:cc)
![{"blocks":[{"key":"fc4pt","text":"severe gap closure using Invisalign in Ringwood - 7 months total Orthodontic treatment time.","type":"unstyled","depth":0,"inlineStyleRanges":[],"entityRanges":[],"data":{}}],"entityMap":{}}](http://img1.wsimg.com/isteam/ip/5646647d-f891-4fb3-9e35-8591b23fa85d/Screen%20Shot%202019-06-22%20at%204.59.53%20PM.png/:/rs=w:100,h:70,cg:true,m/cr=w:100,h:70,a:cc)
![{"blocks":[{"key":"8vq4r","text":"Gap closure and teeth whitening using Invisalign - 7 months total orthodontic treatment time.","type":"unstyled","depth":0,"inlineStyleRanges":[],"entityRanges":[],"data":{}}],"entityMap":{}}](http://img1.wsimg.com/isteam/ip/5646647d-f891-4fb3-9e35-8591b23fa85d/Screen%20Shot%202019-06-22%20at%205.00.08%20PM.png/:/rs=w:100,h:70,cg:true,m/cr=w:100,h:70,a:cc)
![{"blocks":[{"key":"3vfef","text":"Invisalign and cosmetic dentistry - total treatment time 7 months.","type":"unstyled","depth":0,"inlineStyleRanges":[],"entityRanges":[],"data":{}}],"entityMap":{}}](http://img1.wsimg.com/isteam/ip/5646647d-f891-4fb3-9e35-8591b23fa85d/jill%20harris.jpg/:/rs=w:100,h:70,cg:true,m/cr=w:100,h:70,a:cc)
Severe crowding and deep bite corrected using Incognito Lingual Hidden braces
![{"blocks":[{"key":"q6ua","text":"Severe crowding and deep bite corrected using Incognito Lingual Hidden braces","type":"unstyled","depth":0,"inlineStyleRanges":[],"entityRanges":[],"data":{}}],"entityMap":{}}](http://img1.wsimg.com/isteam/ip/5646647d-f891-4fb3-9e35-8591b23fa85d/Screen%20Shot%202019-06-22%20at%205.11.28%20PM.png/:/rs=w:100,h:70,cg:true,m/cr=w:100,h:70,a:cc)
![{"blocks":[{"key":"86a1","text":"Severe crowding treated with Incognito Orthodontics in just 10 months. What a difference a wide, bright white smile can make.","type":"unstyled","depth":0,"inlineStyleRanges":[],"entityRanges":[],"data":{}}],"entityMap":{}}](http://img1.wsimg.com/isteam/ip/5646647d-f891-4fb3-9e35-8591b23fa85d/minv.jpg/:/rs=w:100,h:70,cg:true,m/cr=w:100,h:70,a:cc)
![{"blocks":[{"key":"8j31b","text":"A wider smile created using Incognito braces, followed by 4 anterior veneers. Sometimes the only way to treat a case is to use cosmetic dentistry in conjunction with Orthodontics.","type":"unstyled","depth":0,"inlineStyleRanges":[],"entityRanges":[],"data":{}}],"entityMap":{}}](http://img1.wsimg.com/isteam/ip/5646647d-f891-4fb3-9e35-8591b23fa85d/Screen%20Shot%202019-06-22%20at%205.11.57%20PM.png/:/rs=w:100,h:70,cg:true,m/cr=w:100,h:70,a:cc)
![{"blocks":[{"key":"c73ch","text":"Deep bite correction using Incognito lingual braces. This patient had missing lateral incisors and we used cosmetic bonding to build up the Canines to make them look like Lateral incisors.","type":"unstyled","depth":0,"inlineStyleRanges":[],"entityRanges":[],"data":{}}],"entityMap":{}}](http://img1.wsimg.com/isteam/ip/5646647d-f891-4fb3-9e35-8591b23fa85d/Screen%20Shot%202019-06-22%20at%205.11.36%20PM.png/:/rs=w:100,h:70,cg:true,m/cr=w:100,h:70,a:cc)
![{"blocks":[{"key":"dhvmj","text":"A wider smile produced by Incognito Lingual braces - treatment time 13 months.","type":"unstyled","depth":0,"inlineStyleRanges":[],"entityRanges":[],"data":{}}],"entityMap":{}}](http://img1.wsimg.com/isteam/ip/5646647d-f891-4fb3-9e35-8591b23fa85d/Screen%20Shot%202019-06-22%20at%205.11.42%20PM.png/:/rs=w:100,h:70,cg:true,m/cr=w:100,h:70,a:cc)
Gaps closed using braces, followed by teeth whitening (internal and external)
![{"blocks":[{"key":"5q669","text":"Gaps closed using braces, followed by teeth whitening (internal and external)","type":"unstyled","depth":0,"inlineStyleRanges":[],"entityRanges":[],"data":{}}],"entityMap":{}}](http://img1.wsimg.com/isteam/ip/5646647d-f891-4fb3-9e35-8591b23fa85d/invisalign%20and%20int%20whitening.jpg/:/rs=w:100,h:70,cg:true,m/cr=w:100,h:70,a:cc)
![{"blocks":[{"key":"19caj","text":"Teeth aligned using Invisalign in bournemouth, lightened using teeth whitening ","type":"unstyled","depth":0,"inlineStyleRanges":[],"entityRanges":[],"data":{}}],"entityMap":{}}](http://img1.wsimg.com/isteam/ip/5646647d-f891-4fb3-9e35-8591b23fa85d/whitneing%20and%20invisalign.jpg/:/rs=w:100,h:70,cg:true,m/cr=w:100,h:70,a:cc)
![{"blocks":[{"key":"a9gns","text":"Teeth aligned using Invisalign in bournemouth, followed by a new CEREC (same day) crown on the UR1","type":"unstyled","depth":0,"inlineStyleRanges":[],"entityRanges":[],"data":{}}],"entityMap":{}}](http://img1.wsimg.com/isteam/ip/5646647d-f891-4fb3-9e35-8591b23fa85d/new%20crown%20invisalign.jpg/:/rs=w:100,h:70,cg:true,m/cr=w:100,h:70,a:cc)
![{"blocks":[{"key":"4bjcr","text":"cosmetic bonding in bournemouth","type":"unstyled","depth":0,"inlineStyleRanges":[],"entityRanges":[],"data":{}}],"entityMap":{}}](http://img1.wsimg.com/isteam/ip/5646647d-f891-4fb3-9e35-8591b23fa85d/cosmetic%20bonding.jpg/:/rs=w:100,h:70,cg:true,m/cr=w:100,h:70,a:cc)
![{"blocks":[{"key":"cbdi5","text":"Cosmetic dental veneers for chipped teeth and a replacement tooth UL2","type":"unstyled","depth":0,"inlineStyleRanges":[],"entityRanges":[],"data":{}}],"entityMap":{}}](http://img1.wsimg.com/isteam/ip/5646647d-f891-4fb3-9e35-8591b23fa85d/veneers.jpg/:/rs=w:100,h:70,cg:true,m/cr=w:100,h:70,a:cc)
![{"blocks":[{"key":"4icno","text":"Smile makeover in Ringwood, the teeth where originally straightened using Invisalign, these were heavily filled teeth, so we decided to place cosmetic porcelain veneers from UR5-UL5","type":"unstyled","depth":0,"inlineStyleRanges":[],"entityRanges":[],"data":{}}],"entityMap":{}}](http://img1.wsimg.com/isteam/ip/5646647d-f891-4fb3-9e35-8591b23fa85d/Screenshot%202019-08-16%20at%2000.24.39.png/:/rs=w:100,h:70,cg:true,m/cr=w:100,h:70,a:cc)
![{"blocks":[{"key":"c3gv6","text":"advanced cosmetic bonding","type":"unstyled","depth":0,"inlineStyleRanges":[],"entityRanges":[],"data":{}}],"entityMap":{}}](http://img1.wsimg.com/isteam/ip/5646647d-f891-4fb3-9e35-8591b23fa85d/Screenshot%202019-08-16%20at%2000.44.10.png/:/rs=w:100,h:70,cg:true,m/cr=w:100,h:70,a:cc)

Damon Orthodontics in Bournemouth. Missing teeth were replaced after the Orthodontic treatment with implants (2 implants in total)

The power of passive self ligation, the power of Damon braces in Bournemouth!
12months treatment, just in time for the patient to emigrate to NZ!

Was also given a predicted timeline for treatment of 2 years (with extractions). Why not get treated with Damon braces and no extractions, in under a year? :)

Another lovely Damon case - non extraction :)

Severe crowding resolved with the use of Incognito braces in bournemouth

Treating severe crowding with skeletal aetiology (makes it more complex), Damon braces, complete within 12 months :)
Dr Hardip Dhatt BDS PgDipClinOrtho
![{"blocks":[{"key":"4decc","text":"Dr Hardip Dhatt BDS PgDipClinOrtho","type":"unstyled","depth":0,"inlineStyleRanges":[],"entityRanges":[],"data":{}}],"entityMap":{}}](http://img1.wsimg.com/isteam/ip/5646647d-f891-4fb3-9e35-8591b23fa85d/HDORTHOLOGO.jpg/:/rs=w:100,h:70,cg:true,m/cr=w:100,h:70,a:cc)
![{"blocks":[{"key":"fmpog","text":"Free Retainers worth £550 with every Orthodontic treatment ","type":"unstyled","depth":0,"inlineStyleRanges":[],"entityRanges":[],"data":{}}],"entityMap":{}}](http://img1.wsimg.com/isteam/ip/5646647d-f891-4fb3-9e35-8591b23fa85d/IMG_72712.jpg/:/cr=t:0%25,l:0%25,w:100%25,h:100%25/rs=w:100,h:70,cg:true,m/cr=w:100,h:70,a:cc)
![{"blocks":[{"key":"445mk","text":"Free Teeth Whitening with every Orthodontic treatment taken up","type":"unstyled","depth":0,"inlineStyleRanges":[],"entityRanges":[],"data":{}}],"entityMap":{}}](http://img1.wsimg.com/isteam/ip/5646647d-f891-4fb3-9e35-8591b23fa85d/IMG_72401.jpg/:/cr=t:0%25,l:0%25,w:100%25,h:100%25/rs=w:100,h:70,cg:true,m/cr=w:100,h:70,a:cc)
![{"blocks":[{"key":"5tir5","text":"Why not spread the cost over a year or even 5 years. With payment plans as little as £38* per month, Orthodontics could not be more affordable than with HDORTHO","type":"unstyled","depth":0,"inlineStyleRanges":[],"entityRanges":[],"data":{}}],"entityMap":{}}](http://img1.wsimg.com/isteam/ip/5646647d-f891-4fb3-9e35-8591b23fa85d/IMG_72471.jpg/:/cr=t:0%25,l:0%25,w:100%25,h:100%25/rs=w:100,h:70,cg:true,m/cr=w:100,h:70,a:cc)
![{"blocks":[{"key":"asec","text":"Check out our gallery page to see our orthodontic results. We pride ourselves in our work.","type":"unstyled","depth":0,"inlineStyleRanges":[],"entityRanges":[],"data":{}}],"entityMap":{}}](http://img1.wsimg.com/isteam/ip/5646647d-f891-4fb3-9e35-8591b23fa85d/IMG_72801.jpg/:/cr=t:0%25,l:0%25,w:100%25,h:100%25/rs=w:100,h:70,cg:true,m/cr=w:100,h:70,a:cc)
Copyright © 2019 HD Ortho - All Rights Reserved.